English is fluently spoken here. Feel free to ask anything over whatsapp or e-mail. Information about prices only in person


Esta cliente aos 69 anos nunca realizou um tratamento ortodôntico por restrição a se utilizar de aparelho fixo, única saída oferecida a ela por anos. Realizei o seu tratamento utilizando Invisalign, por um período de quase 3 anos. Foi um tratamento desafiador, pois além da falta de espaço muito grande para seus dentes, mordida profunda severa, ela tinha falta de um incisivo lateral superior direito e não queria tratamentos complexos envolvendo extrações dentárias e implantes. Planejei a correção estética e funcional possível para o seu caso, dentro das suas expectativas e restrições. Obtivemos um resultado tão satisfatório, que este caso clínico foi escolhido pela ALIGN e publicado em sua Galeria Global Internacional!, agora em 2022. Este foi meu 8º caso clínico tratado com Invisalign que a ALIGN escolhe para publicar em sua galeria oficial, pelo 7º ano consecutivo! (2016-2022) Clique aqui para ver a publicação!


Esta menina possuía muitos espaços entre vários de seus dentes, e também seus dentes eram muito para "frente". Seu tratamento foi feito em 2 etapas. Uma etapa para equilibrar a arcada de cima com a de baixo, ainda com dentes de leite presentes, para que os dentes não ficassem mais projetados para "frente", e uma segunda etapa com aparelho fixo, neste caso um aparelho auto-ligado, para alinhar e fechar todos os espaços entre seus dentes. Este tratamento demorou cerca de 3 anos. No detalhe acima, note como a mordida dela no início do tratamento possuía muitos espaços entre os dentes, tanto nos dentes de cima quanto nos de baixo. Numa etapa intermediária, ainda no detalhe acima, perceba já o fechamento dos espaços.


Esta cliente me procurou em 2002 porque se incomodava com seus dentes de cima "muito para frente", "espaçados", se sentia "bicuda" e não conseguia selar os lábios sem fazer esforço. Ela tambem já havia perdido um dente da arcada de cima (ver detalhe acima e à direita na seta vermelha) e queria fechar todos os espaços entre os dentes. Para levar os dentes da frente para trás, realizei um tratamento ortodôntico convencional, e precisei que fosse extraído um dente do outro lado da arcada de cima dela (ver seta azul no detalhe acima e à direita), para poder "puxar" todos os dentes da frente para trás, e corrigir a sua mordida. Veja que ao fim de 4 anos e meio de tratamento todos os espaços foram fechados e seus dentes da frente realmente se movimentaram para trás até encostarem nos de baixo. A diferença de coloração das fotos se deve à diferentes câmeras utilizadas nesta época.


Alguns casos de ortodontia necessitam de cirugia ortognática para serem resolvidos de forma satisfatória. No entanto há pessoas que não querem passar por esta etapa cirúrgica e preferem uma "melhora" na "mordida" e na estética, sabendo das limitações para um resultado ideal. Foi o que fiz neste caso deste rapaz. Ele possuía praticamente todos os dentes em Mordida Cruzada, e o queixo e dentes da frente de baixo muito à frente de onde deveriam estar, e não queria de forma alguma se submeter a uma cirurgia ortognática. Casos como esse podem ser longos, mas eventualmente, se bem tratados, podem trazer resultados aceitáveis. Note que o tratamento durou por volta de 4 anos e meio. No detalhe acima e à direita, perceba que os dentes da frente de cima estavam "por trás" dos de baixo.


Este rapaz achava que seus incisivos laterais (setas amarelas) eram girados para dentro e causavam uma "sombra" quando ele sorria e uma impressão que eles eram pequenos. E ele se incomodava também com o espaço entre os dentes da frente e o desnível de suas bordas (seta vermelha). A melhor solução para este caso seria um tratamento ortodôntico, com o resposicionamento correto dos dentes, mas o cliente não quis. O que fiz então foi um clareamento dentário, duas "lentes de contato" para corrigir o posicionamento e tamanho dos dentes que o incomodavam e apenas um fechamento do espaço entre os dentes da frente, além de melhorar o nível da bordas de ambos. O mais interessante desta solução é que nenhum desgaste foi feito em nennhum dos dentes envolvidos. Lentes de contato em resina composta podemàs vezes permitir essa abordagem de forma mais ampla que lentes em cerâmica, que em geral exigem algum desgaste permanente do dente original. Se este cliente, no futuro, resolver que quer usar aparelho ortodôntico, as "lentes" podem ser removidas, deixando os dentes originais à mostra (que neste caso não foram desgastados) para serem reposicionados pelo tratamento ortodôntico. Ou seja, essa é uma solução que, neste caso específico, pode ser reversível.


Este rapaz tinha os dentes bem espaçados e "para frente", e se incomodava muito com os dentes da frente aparentarem serem grandes. Ná época, em 2001, fiz um tratamento ortodôntico convencional com aparelho fixo por 3 anos. Como o paciente tinha bruxismo, e estava estudando para o vestibular, ele desenvolveu bruxismo e lentamente desgastou as bordas dos dentes da frente, que eram mais arredondadas, e também um pouco as pontas dos caninos (as presas). No detalhe acima perceba a quantidade de espaços que ele possuía entre seus dentes.


Esse cliente se incomodava com os dentes "encavalados" (veja as setas amarelas), e queria realizar facetas para corrigir o alinhamento dos dentes. Convenci-o que seria melhor alinhar seus dentes com um tratamento ortodôntico, e manter seus dentes originais, sem desgaste algum. Fiz o tratamento ortodôntico com Invisalign em pouco mais de um ano. Facetas ou Lentes de Contato poderiam resolver o alinhamento dos dentes, mas seriam necessárias várias lentes de contato para se ter um resultado harmônico, com custo financeiro e biológico certamente bem maiores.


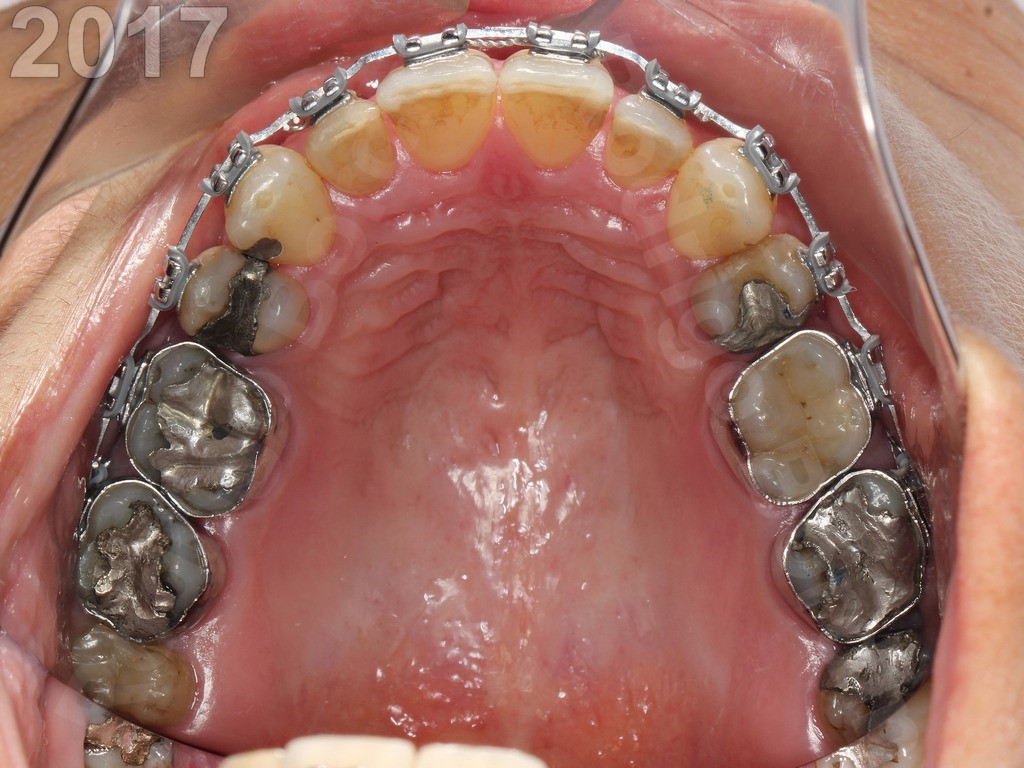
Esta cliente na faixa dos 40 anos de idade me procurou em 2010 porque tinha uma mordida aberta (dentes da frente de cima não se tocavam com os da frente de baixo) e também se incomodava porque seus dentes de cima eram "muito para frente", e não queria em hipótese alguma passar por cirurgia ortognática. O que fiz foi um tratamento ortodôntico com extração de dois dentes superiores de cada lado para conseguir levar os dentes da frente "para trás" e também corrigir a sua mordida aberta. Um detalhe que se pode perceber nas setas amarelas e na azul é que, ela já possuía retrações gengivais nos dentes da frente de baixo antes do tratamento. Foi feita uma cirurgia de enxerto de gengiva para recobrir as retrações, mas o enxerto não se extendeu até o canino inferior direito (seta azul). Após o tratamento, onde o enxerto havia sido feito, as raízes não apresentavam retrações. Onde não foi feito o enxerto, houve um aumento na retração da gengiva. No detalhe acima, a seta vermelha indica um acessório chamado micro implante utilizado neste caso para auxiliar no fechamento da mordida aberta. Perceba também no detalhe acima o local onde foi feita a extração do pré-molar. O tratamento durou 4 anos e meio e a diferença de coloração dos dentes nas fotos se deve à câmeras diferentes terem sido usadas neste período.


Este rapaz se incomodava com os dentes de baixo "encavalados". Mesmo os dentes de baixo sendo a sua maior preocupação, em boa parte das vezes o tratamento precisa se extender aos dentes de cima também, pois mesmo que se consiga alinhar os dentes de baixo independente da arcada superior, fica muito difícil se conseguir um bom "encaixe" da mordida sem que as duas arcadas dentárias estejam envolvidas no tratamento. Note no detalhe acima e à direita, o início e uma fase intermediária do tratamento.


Esta moça me procurou em 2002 porque tinha seus dentes da frente muito encavalados e se incomodava com seu sorriso. Para resolver este caso, na época, optei por um tratamento convencional com aparelho fixo. Foram extraídos dois pré-molares para que eu conseguisse espaço tanto para desencavalar os dentes quanto para corrigir a oclusão (mordida) dela. Este tratamento durou quase 4 anos. Note no detalhe acima uma etapa intermediária do tratamento, com os dentes recém-extraídos e o espaço conseguido, e depois quando o tratamento foi finalizado, com os espaços todos fechados e os dentes alinhados.


Este menino tinha os dentes "muito para a frente", encavalados, e se sentia bem bicudo. E se negava a usar um tipo de aparelho externo (o famoso "freio-de-burro) para recuperar espaços para os dentes e levá-los para trás. Optei nesse caso por realizar um tratamento ortodôntico com aparelho fixo. Para criar espaços para os dentes encavalados, foram feitas extrações de 2 pré-molares superiores (os vizinhos de trás das presas, um de cada lado). E para garantir que os dentes da frente iriam para trás, já que ele se negava a usar o "freio de burro", utilizei 2 mini parafusos ortodônticos, que são presos no osso, através da gengiva, um de cada lado de onde os dentes foram extraídos. Esses parafusos, (ver seta amarela no detalhe acima) servem como apoio para grandes fechamentos de espaços como neste caso. Note que esse tratamento não é rápido, levou por volta de 4 anos, mas consegui um ótimo resultado. Note no detalhe acima, uma fase intermediária, com o mini parafuso sendo utilizado para se trazer para trás o canino (presa). Veja que depois de removido o mini parafuso não resta nem cicatriz. Perceba nas imagens maiores que, mesmo extraindo-se 2 dentes na parte de cima, o arcada está até mais ampla que no início do tratamento.


Este rapaz adiou por anos seu tratamento ortodôntico por motivos estéticos. Realizei seu tratamento ortodôntico utilizando Invisalign, antevendo que seria um tratamento complexo e difícil. E planejei para que as áreas desgastadas de seus dentes da frente e com restaurações manchadas, fossem substituídas e corrigidas após o alinhamento de seus dentes. O resultado estético final só seria obtido com a combinação do tratamento ortodôntico e o restaurador subsequente. O tratamento com Invisalign teve 3 etapas e durou três anos e meio. Ao fim do mesmo, realizamos o clareamento dentário e da forma restauradora o mais conservadora possível, apenas refiz uma pequena restauração no incisivo lateral direito e corrigi as "pontas" e as laterais dos dois dentes da frente, que eram desgastadas e desniveladas, devido à má posição dos dentes antes do tratamento. Nenhuma faceta ou lente de contato foi necessária. No detalhe acima, duas etapas intermediárias: Durante o tratamento ortodôntico com Invisalign e ao final do tratamento ortodôntico, antes de se iniciar o clareamento dentário e restaurações das áreas desgastadas. Tive o privilégio de em 2021 ter este tratamento de dificuldade grau 3 (o grau mais severo de classificação da ALIGN) publicado na galeria internacional da ALIGN, sendo meu 7º tratamento publicado desde 2016.


Nesta moça realizei o tratamento ortodôntico com Invisalign em duas etapas. Uma inicial mais longa, onde as movimentações mais complexas de foram realizadas e uma etapa de “refinamento” mais curta, logo em seguida, para acabamento. Entre as duas etapas, realizei o clareamento dos dentes. O tratamento todo durou dois anos. Não foram necessárias extrações dentárias nem expansões desmedidas das arcadas para se criar espaço para os dentes “encavalados”. Este caso foi publicado na Global Invisalign Gallery, em 2017


Essa menina não tinha espaço para todos os dentes, e ainda possuía dentes de leite na boca. Após uma primeira etapa de recuperação/criação de espaços para os dentes encavalados, que durou 6 meses, realizei o tratamento ortodôntico fixo convencional por mais 20 meses, que permitiu "encaixar" na posição correta os dentes permanentes que foram "nascendo" no decorrer do tratamento. Perceba também que ela possuía bruxismo em idade bem jovem, o que levou ao desgaste precoce das "serrinhas" dos dentes da frente e da ponta dos caninos superiores, as "presas"


Eu realizei o tratamento ortodôntico com Invisalign neste rapaz previamente, como mostrado neste outro exemplo. Após o tratamento, realizei o clareamento dentário para conseguir uma estética sastisfatória do sorriso, e áreas que possuiam desgaste dentário, e restaurações escurecidas, foram recompostas e refeitas, de forma estratégica, sem desgaste adicional dos dentes originais, respeitando a minha filosofia de sempre preservar o máximo o possível os dentes naturais, pois serão mais resistentes e estáveis num longo prazo. Veja que nenhuma faceta, ou lente de contato foi necessária para se obter um resultado altamente satisfatório. No detalhe acima, com contraste preto, percebe-se exatamente as áreas onde restaurei para obter harmonia e melhor simetria entre os dentes.


No caso desta cliente, optamos pelo alinhamento dos dentes com Invisalign em 11 meses. Posteriormente realizei o clareamento dentário e duas lentes de contato sem desgaste algum nos Incisivos Laterais, que eram muito mais estreitos que o normal. Nos Incisivos Centrais, os dentes do meio, fiz apenas pequenas restaurações estratégicas para devolver o contorno correto das bordas desgastadas. Note no detalhe acima e à esquerda, uma fase intermediária do tratamento ortodôntico com Invisalign e o posteromente o caso finalizado. No detalhe abaixo, as duas lentes de contato confeccionadas sobre o modelo de gesso, antes de sua colagem final. Este caso clínico foi selecionado no final de 2018 e publicado na Galeria Internacional da Align, a Global Invisalign Gallery, sendo este o meu quarto caso clínico de Invisalign avaliado e publicado. Esta galeria conta até o fim de 2018, com quase 700 casos clínicos tratados com Invisalign, com dentistas do mundo todo.


Neste caso complexo e longo, primeiramente realizei o tratamento ortodôntico tradicional, com 2 extrações dentárias, que durou 4 anos e meio. Após o término do tratamento, e de acordo com as condições financeiras do cliente, fiz o clareamento dentário e uma a uma algumas das substituições das restaurações antigas que o incomodavam. Apenas 1 faceta foi confeccionada. No detalhe acima, duas etapas intermediárias da fase do tratamento ortodôntico. Este caso ainda não está terminado e ainda necessita que algumas restaurações sejam feitas e algumas outras substituídas.


A reclamação desta moça é que os dentes, além de "encavalados" pareciam muito à frente e a boca parecia estreita e pequena. Fiz o tratamento com aparelho fixo convencional, e para conseguir espaço para os dentes "encavalados" e também fazê-la mostrar mais os dentes do fundo, optei por "alargar" lateralmente as arcadas, além de fazer uso de elásticos intra-bucais para recuperação de espaços para os dentes. Note que, neste caso especifico, a arcada "mais larga" dá uma aparência estética melhor ao contorno do sorriso.


Neste caso desta moça, como os espaços eram muito grandes para serem fechados com facetas ou restaurações, fiz o tratamento ortodôntico para alinhar os dentes e fechar os espaços. Note que antes de se fechar os espaços, o sorriso não era natural, os lábios não se abriam muito, pois ela tinha vergonha do sorriso. A diferença de coloração entre as fotos se deve à câmeras diferentes utilizadas no início e fim do tratamento. Este tratamento foi feito com aparelho fixo convencional, e levou cerca de 3 anos e meio para ser concluído.


Os dentes da frente desta moça eram muito projetados para a frente, e ela recobria muito acentuadamente os dentes de baixo, o que pode provocar, num longo prazo, desgastes acentuados nos dentes da frente de baixo. Embora seja difícil para um leigo perceber, no tratamento ortodôntico desta moça eu precisei extrair dois dentes superiores para se criar espaço para alinhar e reposicionar os dentes da frente de cima mais para trás e para cima. Note que não sobram espaços "abertos" quando extrações para tratamento ortodôntico são realizadas. Tratamentos complexos como esse são mais demorados. Este levou cerca de 3 anos.


Após terminar o tratamento ortodôntico desta paciente, fiz o clareamento dentário e, uma a uma, substituí as antigas restaurações escuras de amálgama, esteticamente insatisfatórias, por restaurações em resina composta. Nenhuma coroa de porcelana foi necessária, neste caso. Note que mesmo em grandes destruições dentárias, desde que, se tomados devidos cuidados de planejamento, podem sim receber grandes restaurações em resina composta, sem a necessidade de se utilizar de coroas de porcelana, que exigem maior desgaste ainda do dente, que já se encontra bem fragilizado.


Essa moça reclamava dos dentes da frente "encavalados" e girados, e se incomodava com o seu sorriso. Fiz o tratamento ortodôntico com Invisalign em 10 meses, em 2016. Consegui a correção do apinhamento dos dentes da frente, uma melhora da estética da curva do sorriso, e da mordida aberta que a cliente possuía (Os dentes da frente de cima e os de baixo não se tocavam). No detalhe acima, uma etapa intermediária do tratamento com Invisalign, e o resultado final após o término do tratamento ortodôntico e início de clareamento dentário. Este caso foi meu terceiro caso clínico analisado e aprovado para publicação na Global Invisalign Gallery, em 2018


Este rapaz reclamava dos dentes da frente de cima "encavalados" e também dos de baixo. Realizei um tratamento com Invisalign com finalidade estética, em um curto prazo, apenas 13 meses, entre 2011 a 2012, numa época em que tratamentos com Invisalign dispunham de recursos mais limitados. Após o tratamento, realizei o clareamento dos dentes e correções estéticas estratégicas com resina composta, para recompor as áreas desgastadas de seus dentes e obter um sorriso mais harmônico e agradável. Esse caso clínico foi o meu primeiro (e o primeiro também de qualquer dentista de Londrina e região) a ser publicado na Global Invisalign Gallery, em 2016. Um efeito muito comum após tratamentos com mudanças de sorriso é esse obtido aqui: No ínício, o cliente mesmo tentando forçar um sorriso, não conseguia, devido à anos de vergonha da posição de seus dentes. Ao fim do tratamento, o sorriso forçado se torna muito mais amplo. Um exemplo similar à essa mudança natural de posicionamento de lábios, após um tratamento com mudança de sorriso pode ser visto neste caso mais recente, de 2017


Neste caso desta menina, optei por primeiramente recuperar espaços para os dentes. Note que os caninos superiores (presas) não tiveram espaço e um deles "nasceu" muito acima na gengiva, fora do local ideal, e o outro, o esquerdo, sequer conseguiu espaço para aparecer na boca. Só após a fase inicial, de recuperação de espaços, fiz o tratamento com aparelho fixo convencional, sem a necessidade de extrações de dentes. Note no detalhe acima, etapas intermediárias do tratamento. O sucesso e velocidade de um tratamento deste tipo depende muito da cooperação do paciente. Neste caso, o tratamento demorou 3 anos e meio. A diferença de coloração das fotos se deve tanto ao clareamento dentário que ela fez posteriormente, quanto à mudança de lentes e câmera, durante o período de tratamento.


Neste menino, entre 2001 e 2004, fiz um tratamento ortodôntico fixo convencional, com criação de espaços para os dentes muito encavalados e muito inclinados pra frente com extrações de 4 pré-molares. Com o espaço criado pela extração dos dentes, consegui realinhar todos os demais dentes. Há casos como esse que, sem extrações dentárias, poderia-se até conseguir-se alinhar os dentes, mas o resultado estético do sorriso no rosto poderia ficar muito prejudicado. Este menino já se sentia muito "bicudo". Se extrações não fossem feitas, este aspecto de se sentir "bicudo" poderia ficar mais salientado ainda. Perceba no detalhe acima, fases intermediárias do tratamento ortodôntico, onde as extrações haviam sido feitas recentemente e num estágio onde os espaços já estavam todos fechados e os dentes alinhados. Note que por ser um caso mais antigo, nesta época câmeras digitais ainda estavam no seu início, de baixa resolução e com poucos recursos, e assim era difícil conseguir uma padronização de fotos entre uma câmera e outra. Eu usei várias câmeras diferentes, e muita prática, até chegar em dias mais atuais, onde é relativamente mais fácil padronizar-se as fotografias.


Como este rapaz possuía muita falta de espaço para os seus dentes, recuperar estes espaços para encaixar todos seus dentes seria uma tarefa árdua e demorada num tratamento ortodôntico de um jovem adulto. A opção que executei foi um tratamento ortodôntico com extrações de alguns dentes para conseguir espaço para alinhar os demais dentes. Veja que nem se percebe que dentes foram extraídos ao final do tratamento. Note no detalhe acima, a quantidade de espaço que faltava para que todos os dentes se encaixassem, e nas setas amarelas, os dentes que foram extraídos, para permitir correto alinhamento dos demais. Veja aqui um outro caso com maior falta de espaço ainda, também com extrações dentárias para acomodar o restante dos dentes. E como uma alternativa de tratamento, veja este caso de uma adolescente mais jovem,onde foi possível se recuperar os espaços para todos os dentes sem nenhuma extração de dentes.


Neste caso desta criança, fiz o tratamento ortodôntico em duas etapas. Uma etapa para recuperar espaços para os dentes, para não precisar extrair nenhum dente, e uma segunda etapa para alinhá-los entre si. Esse tipo de tratamento começa-se mais cedo e pode levar mais tempo, mas no final temos o benefício de não necessitar extrair dentes. No detalhe acima, veja o quanto de espaço foi recuperado para os caninos (indicados pelas setas amarelas), que claramente não "cabiam" na arcada, sem que os dentes da frente fossem empurrados para a frente, o que poderia deixar a criança "bicuda".


Este tratamento ortodôntico foi feito em duas fases, pois a criança se encontrava com vários dentes de leite e, apesar da grande falta de espaço para seus dentes permanentes, há grande chance de sucesso de se recuperar espaços para os dentes permanentes nessa época de crescimento da criança, pouco antes da adolescência. Após o tratamento inicial de recuperação de espaços, realizei o tratamento ortodôntico com aparelho fixo, para se alinhar e posicionar corretamente os dentes. Veja aqui um outro exemplo de tratamento similar, com recuperação de espaços para dentes permanentes.
Atualize seu NavegadorNós detectamos que você esta usando uma versão obsoleta do Internet Explorer como seu navegador web.
Para entrar no site e usufruir de todos os recursos, por favor instale uma versão mais atual do IE.
Só levara alguns minutos para completar.
O site também pode ser visto usando:
